- 成像模式:BF、DF、HAADF、自定义
- 分辨率优于 1 nm

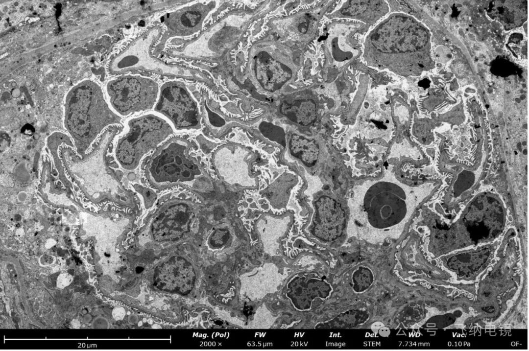
肾小体(renal corpuscle),是肾单位的组成部分。呈球形,直径约 200 μm,由血管球(也称为肾小球)和包裹其外的肾小囊组成。肾小体有两个极,微动脉出入的一端称血管极,对侧一端和近曲小管相连,称尿极。

使用 Pharos STEM 台式场发射生物电镜,低倍下可见到肾小体的足细胞,基底膜,内皮细胞,系膜区:

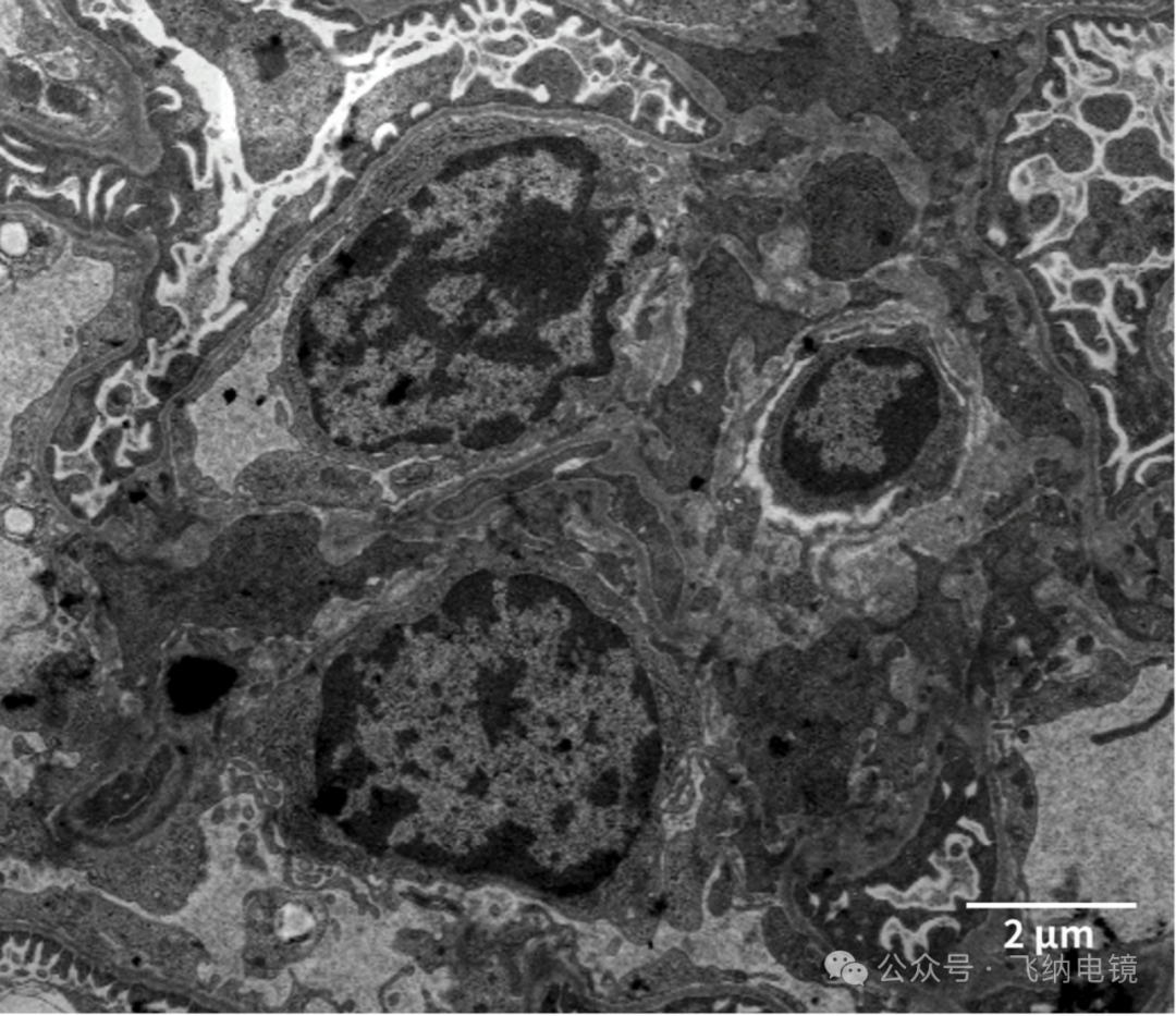
系膜细胞(mesangial cell)是一种肾小球固有细胞,位于肾小球毛细血管袢之间,在台式场发射生物电镜可以看出,邻接内皮细胞或基底膜,形态不规则,细胞突起可深至内皮细胞和基底膜之间,或经内皮细胞之间伸入毛细血管腔内。肾小球系膜细胞具有分泌细胞基质、产生细胞因子、支撑肾小球毛细血管丛、吞噬和清除大分子物质以及类似平滑肌细胞收缩的功能。

内皮细胞是肾小球毛细血管壁的首道屏障,其功能涉及选择性滤过及生物活性物质合成。内皮细胞较薄,细胞间隙约 70 - 100 nm,这些间隙允许小分子物质如水、电解质、葡萄糖、氨基酸和小分子蛋白质等自由通过,而像血细胞、血小板等较大的成分则被阻挡在血管内。

台式场发射生物电镜下的内皮细胞
肾小球基膜是肾小球滤过膜的核心组成部分,属非细胞性结构,主要对流经该处血浆中的蛋白进行保留。电镜下可分为内疏松层、致密层和外疏松层三层结构。

台式场发射生物电镜下:内疏松层、致密层和外疏松层三层结构
足细胞(podocyte)附着于肾小球基膜的外侧,连同血管内皮细胞和肾小球基膜一起构成了肾小球血液滤过屏障。其呈星型多突状,胞体较大,由胞体伸出许多突起,称为足突,这些足突相互交错,在相邻足突之间形成了滤过缝隙,称为裂孔。

把实验室级分辨率,装进您的桌面。操作简单,无需专业操作人员,适合学生操作;15 秒超快抽真空,40 秒成像,让您的研究快人一步;体积小巧,但功能不减,优于 1 nm 的分辨轻松观测各种生物样品。

欢迎随时联系我们进行 Demo 演示、试用或了解更多关于 Phenom Pharos STEM 如何满足您的研究需求的信息。(注:如需测样,请自行完成透射电镜标准制备,我司提供检测服务)

咨询热线:400 857 8882


@ 2022 复纳科学仪器(上海) 有限公司 飞纳电镜 版权所有 沪ICP备12015467号-1
